— Emilio Cecamore, your Associate Dentist in Leeds
I am italianopena dreamerprecisecurious
I am Emilio Cecamore


Who Am I
I am Italian: I am Emilio Cecamore, an Oral Surgeon working as an implantologist in the United Kingdom since 2020. If you need an Associate Dentist in Leeds especially, I'm your man!
I am curious: I have a specific interest in dental implants and dento-alveolar reconstruction and over 9 years of experience as an Oral Surgeon in Hospitals and traditional dental practices.
I am precise: I focus on implantology ranging from straightforward dental implant placement to a full arch rehabilitation with immediate loading, sinus lift and bone grafting. I am also skilled in wisdom teeth extraction and endodontic treatments.
I am a dreamer: I believe you should never stop evolving and growing, that is why I am currently enrolled in the second year of Master in Oral Implantology at Goethe University, Frankfurt, Germany.
I am open: I welcome new opportunities around the world, that is why I decided to widen my horizons and work abroad, allowing me to gain valuable experience in Italy and the UK.



Academic Pathway

Dental Surgery BDS
Sep 2008 - Jul 2012
Doctor of Dental Surgery Degree
(5-year, full time)
University of Genoa ( Italy)
Mark: 110/110 cum laude and silver medal.

Specialization diploma in oral surgery
Feb 2013 - Feb 2016
Master of Clinical Dentistry (mclindent) in Oral Surgery.
(3-year, full time)
University of Milan (Italy)
Mark: 69/70

Master degree in Oral Implantology
Nov 2022 - present
Part-time M.Sc in Oral Implantology
Goethe Dental School
Frankfurt, Germany

Postgraduate Newcastle University
October 2023 - present
Conscious Sedation in Dentistry

Where I come from
I originate from Italy. When you come from such an inspriring place, it is easy to be a dreamer. Dentistry is no exception in Italy when it comes to high end treatments. I have had the privilege to learn from leading experts in the dental field and add this to my skill set.
I moved to the the UK three years ago with the aim of expanding myself as a dental professional and in order to reach new goals.
Leeds has turned into my second home, making it less difficult to be away from my hometown and giving me a new sense of gratitude for all of the opportunities I am presented with to grow as a dental professional.
At present, I am available as an Implantologist and Specialist Oral Surgeon in Milan, Leeds and Dublin.



What I Do

Implantology
Implantology is my passion and my core activity. I range from straightforward dental implant placement to a full arch rehabilitation with immediate loading, sinus lift and bone grafting.
Oral Surgery
I am skilled in advanced implantology, sinus lift, bone grafting, wisdom teeth extraction and recently enrolled in the Oral Surgery Master degree at Goethe Dental School in Frankfurt, Germany.
PRP
I am skilled in platelet-rich plasma injections, one of the best treatments to accelerate healing in a specific area.


Why I love it
Dentistry is not only a job for me, but an entire passion and part of my personality. It takes courage to admit that you need help, that is why listening to my patients’ stories and needs is the first step to make sure that he achieves his dream smile. Everyone deserves to feel at ease among other people, to enjoy all kinds of food or to burst fearlessly into laughter.
Implantology

Immediate-Load Implantology
Bread and butter
Immediate-loading implantology is my bread and butter. Having treated hundreds of cases has made me an expert in this field and a safe reference point for my patients.

Complex Case
No matter how difficult it is
A complex case requires a thorough analysis. Giving up is not part of me, that is why complex rehabilitations are a challenge that I welcome and face with discipline and method.

Regeneration
Water into wine
Not enough bone for dental implants? No problem. Regenerative techniques allow me to make up for any shortfall you might have.
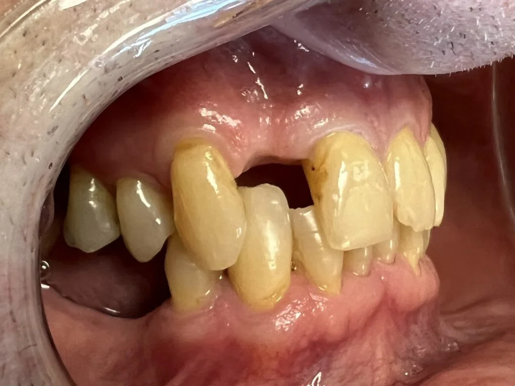
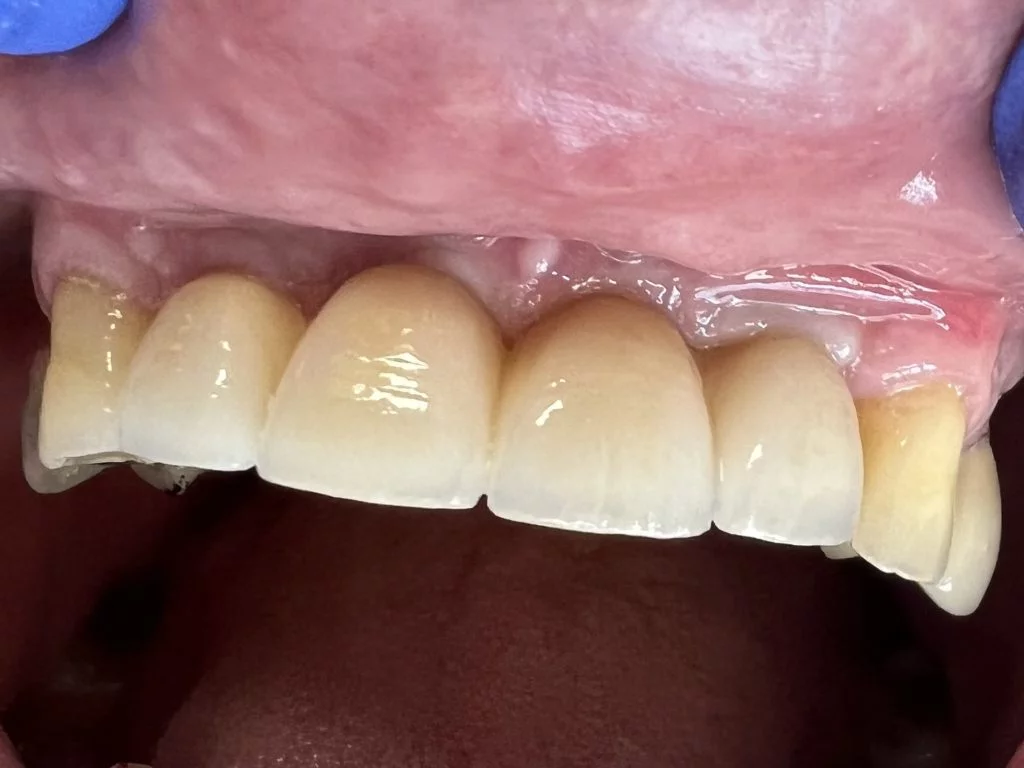
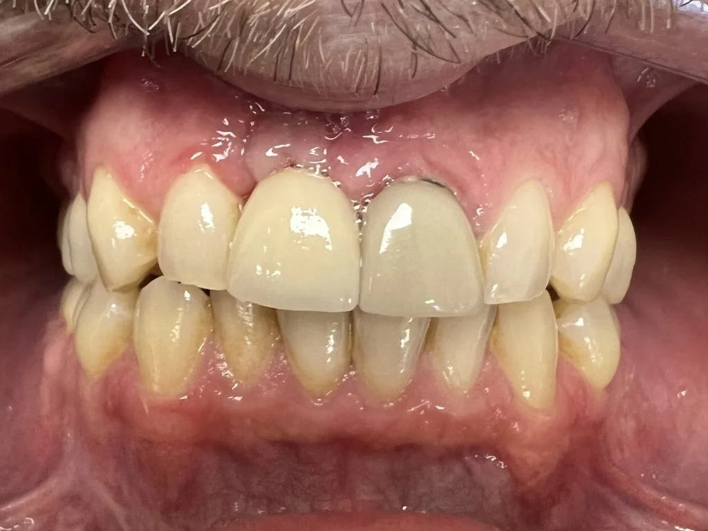
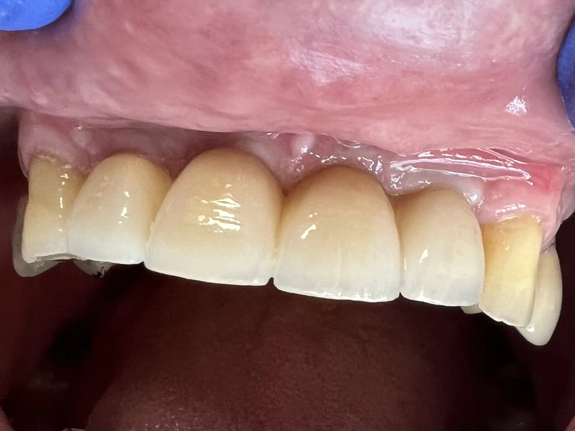
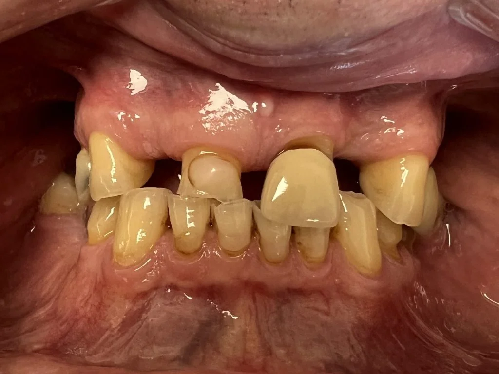
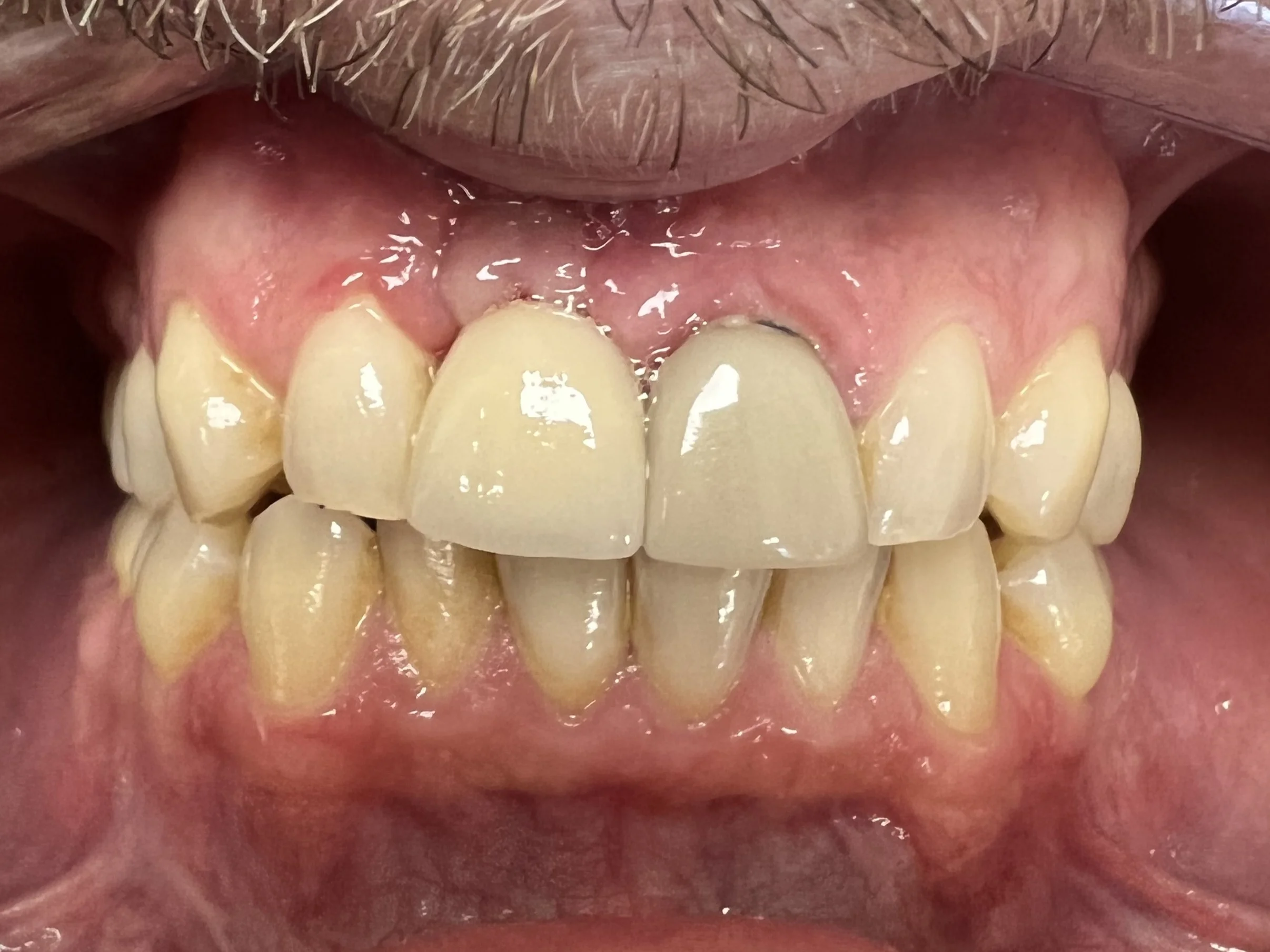
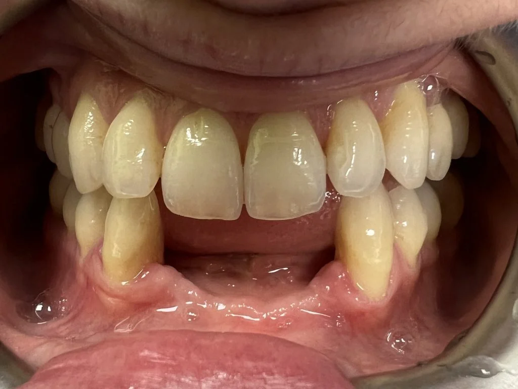
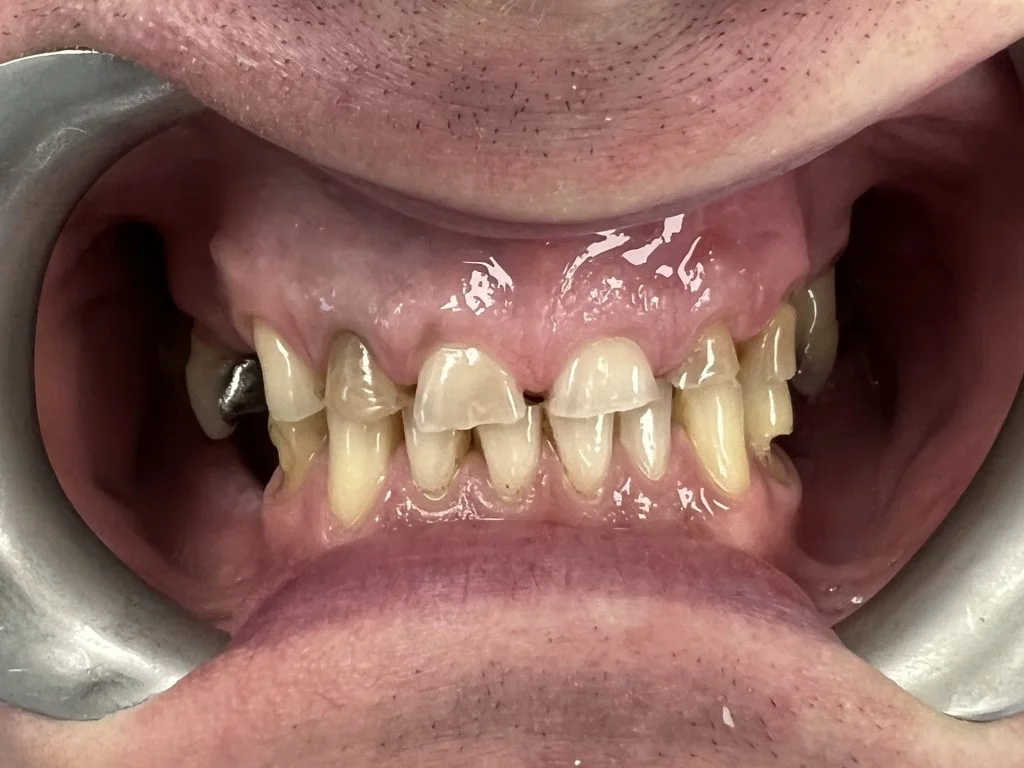
Case Studies
What can I do? Take a look at some of my case studies.
Looking for more information? Submit a ticket
Looking for help? Submit a ticket
Looking for help? Submit a ticket
Experience

My professional life is divided into 3 extremely important moments
The relationship with patients
My profession
My academic career
Professional life
My professional life is divided into 3 extremely important moments:
Blog
Read my articles: my way to share what I know and love.
Learn everything you need to know about wisdom teeth, from their purpose and common issues to removal procedures and recovery tips.
Explore the rising trend of dental implantology in Turkey, including the benefits of cost savings, skilled professionals, and modern clinics.
Choosing a dentist for dental implants is a significant decision that can deeply affect your life. Find out how to choose the right one.
Ignoring the loss of a tooth can have serious long-term consequences on your oral and overall health.
When it comes to straightening teeth two popular options stand out: Invisalign and traditional braces. Which option is better suited for you?
Understanding the causes, recognizing the symptoms of infections around implants can ensure the longevity of dental implants.
Understanding the nuances of dental implant safety can alleviate concerns and empower patients to make informed decisions about their oral health.
So, what exactly are All on Four Dental Implants? This groundbreaking technique involves strategically placing four dental implants to support a full set of teeth.
Are you looking for an Associate Dentist (and an Oral Surgeon, in this case) to elevate the standards of your dental practice? Look no further.
Contact me Now.
Do you think I could help you somehow? I’m already curious to find out how.
Testimonials.
Add Text Here, Add Text Here, Add Text Here, Add Text Here, Add Text Here, Add text here. Add Text Here, Add Text Here, Add Text Here, Add Text Here, Add Text Here, Add text here.
Name Surname
Add Text Here, Add Text Here, Add Text Here, Add Text Here, Add Text Here, Add text here. Add Text Here, Add Text Here, Add Text Here, Add Text Here, Add Text Here, Add text here.
Name Surname
Add Text Here, Add Text Here, Add Text Here, Add Text Here, Add Text Here, Add text here. Add Text Here, Add Text Here, Add Text Here, Add Text Here, Add Text Here, Add text here.
Name Surname
Add Text Here, Add Text Here, Add Text Here, Add Text Here, Add Text Here, Add text here. Add Text Here, Add Text Here, Add Text Here, Add Text Here, Add Text Here, Add text here.
Name Surname
Add Text Here, Add Text Here, Add Text Here, Add Text Here, Add Text Here, Add text here. Add Text Here, Add Text Here, Add Text Here, Add Text Here, Add Text Here, Add text here.
Name Surname
Add Text Here, Add Text Here, Add Text Here, Add Text Here, Add Text Here, Add text here. Add Text Here, Add Text Here, Add Text Here, Add Text Here, Add Text Here, Add text here.
Name Surname
Where I Work
I am available in
Leeds.

- Zayra Dental
599 Harehills Lane, Leeds, LS96NQ
tel: 0113 248 8398
mail: info@zayradental.co.uk
I am available in
Leeds.

- HQ Dental
Swallow House, 349 Tong Road, Leeds, West Yorkshire, LS12 4QG
tel: 0113 279 6667
mail: info@hqdental.co.uk
I am available in
Bradford.

- Pearl Dental
11A West End Queensbury, BD13 2BD
tel: 0127 488 0178
contact@pearldentalqueensbury.co.uk






























































